
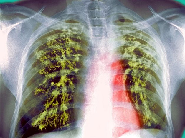
نتایج یک تحقیق نشان میدهد موسیر میتواند به مقابله با مقاومت آنتیبیوتیکی در بیماری سل کمک کند.
به گزارش ایسنا، گروهی از متخصصان انگلیسی در یک بررسی دریافتند موسیر میتواند به مقابله با مقاومت آنتیبیوتیکی در بیماری سل کمک کند.
متخصصان معتقدند خواص آنتی باکتریال گرفته شده از موسیر تاثیر درمانهای آنتی بیوتیکی جدید را افزایش میدهد و میتواند به معکوس کردن روند افزایشی مقاومت دارویی سل که در سال ۲۰۱۶ حدود ۴۹۰ هزار نفر را آلوده کرده، کمک کند.
این تیم تخصصی آزمایشاتی را روی چهار مولکول مختلف موسیر انجام دادند. هرچند به گفته محققان این مطالعه در مراحل اولیه است و لازم است آزمایشهای بالینی بیشتری انجام شود.
متخصصان با بیان اینکه یافتههای اولیه حاکی از آن است تمامی این چهار مولکول کاهش چشمگیری در تعداد باکتریهای مقاوم به داروهای سل داشتهاند، اظهار داشتند: این ترکیبهای شیمیایی را میتوان در کنار آنتی بیوتیکهای موجود برای مقابله با گونههایی از سل که به داروهای آنتی باکتریال مقاوم شدهاند، استفاده کرد.
به گزارش شبکه خبری بیبیسی، یکی از متخصصان این مطالعه گفت: به رغم اقدامات جهانی برای پیشگیری از گسترش سل، تقریبا در سال ۲۰۱۶، ۱۰ میلیون مورد جدید ابتلا به سل و دو میلیون مرگ بر اثر آن گزارش شده است.
وبسایت روزنامه امروز خراسان جنوبی